
في إنجاز طبي بارز يضاف إلى سجل النجاح لقطاع الصحة في المنوفية، تمكن الفريق الجراحي بمستشفى زاوية الناعورة المركزي، بقيادة الدكتور مجدي لولح وبإشراف الدكتور إسلام الفقي مدير المستشفى، من إجراء عملية نادرة لإصلاح فتق بالحجاب الحاجز من نوع بوكدالك في الجهة اليمنى، وتعتبر هذه الحالة من الحالات النادرة التي لا تتجاوز نسبتها عالميًا 10-15% من إجمالي حالات الفتق الحجاب الحاجز الخلقي، ويأتي هذا الإنجاز تنفيذًا لتوجيهات الدكتور خالد عبد الغفار نائب رئيس مجلس الوزراء ووزير الصحة والسكان واللواء إبراهيم أبو ليمون محافظ المنوفية، وذلك لتقديم خدمات صحية ذات جودة عالية تلبي احتياجات المواطنين، بالإضافة إلى تعليمات الدكتور عمرو مصطفى محمود وكيل وزارة الصحة بالمنوفية بالارتقاء بمستوى الخدمات الطبية المقدمة في جميع أنحاء المحافظة.
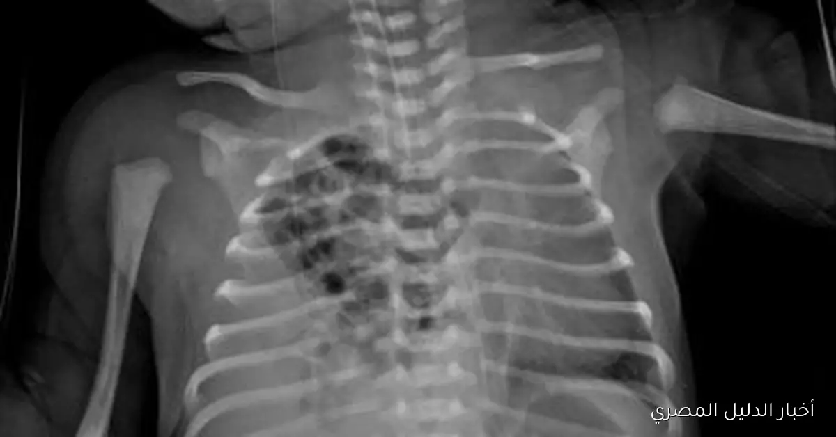
خلال العملية، اكتشف الفريق الطبي وجود الفص الأيمن من الكبد داخل التجويف الصدري، إلى جانب الأمعاء الدقيقة والغليظة، مما أدى إلى ضغط على الرئة اليمنى، وقد قام الأطباء بإرجاع جميع الأعضاء إلى وضعها الطبيعي داخل تجويف البطن، ثم تم إصلاح الفتق باستخدام خيوط غير قابلة للذوبان من نوع “إيثيبوند” لضمان المتانة واستقرار الحالة.
كما لاحظ الجراحون وجود التصاقات وأغشية ليفية من نوع “لادز” أدت إلى التواءات بالأمعاء، وتم التعامل معها بتقنية إصلاح لادز الجراحية، التي شملت إزالة الأغشية التليفية وإعادة ترتيب الأمعاء الدقيقة إلى الجهة اليمنى والقولون إلى الجهة اليسرى، بالإضافة إلى استئصال الزائدة الدودية كإجراء وقائي.
وأكد الدكتور إسلام الفقي أن العملية تمت بنجاح كامل، والحالة الآن مستقرة وتحت الملاحظة الدقيقة في وحدة الرعاية، مشيرًا إلى أن هذا النجاح يعكس كفاءة وتميز الفريق الجراحي بالمستشفى ودعم مديرية الشؤون الصحية في المنوفية لتطوير الخدمات الجراحية الدقيقة بالمستشفيات المركزية.
يجدر بالذكر أن الفتق الحجابى الخلقي يعتبر من الحالات النادرة، حيث يحدث بمعدل يتراوح بين 1 لكل 2500 إلى 4000 ولادة حية، وتشكل فتوق بوكدالك نحو 85-90% منها، بينما تقع الحالات في الجهة اليمنى بنسبة لا تتجاوز 10-15%.
وفي ختام هذه الإنجاز، وجه الدكتور عمرو مصطفى محمود وكيل وزارة الصحة تحية تقدير للفريق الطبي بمستشفى زاوية الناعورة المركزي على هذا النجاح الذي يُجسد التميز والجاهزية الطبية في خدمة أبناء المنوفية.